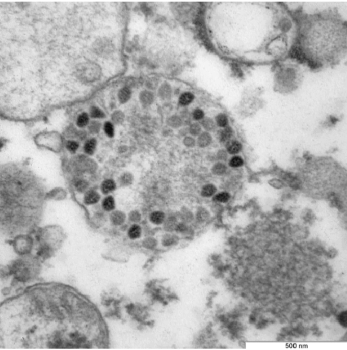
Pesquisadores russos publicaram as primeiras imagens em alta resolução da variante Ômicron. O registro foi publicado pelo Instituto Gamaleya, responsável pelo desenvolvimento da vacina Sputnik V.
A nova cepa do vírus da Covid-19 se espalha pelo mundo e tem feito países europeus aumentarem as restrições sanitárias. Em alguns locais, como em Londres, as infecções estão dobrando a cada dois ou três dias.
No Brasil, o Ministério da Saúde anunciou a antecipação da dose de reforço da vacina. O intervalo mínimo passou de cinco para quatro meses depois da segunda dose. A medida foi anunciada para conter o avanço da variante no país.
O Instituto Gamaleya reforçou, na publicação, que o imunizante Sputnik V “demonstra resposta robusta de anticorpos neutralizantes” contra a variante. A instituição publicou mais informações na última sexta-feira (17/12) sobre a resposta da vacina.
Veja as primeiras imagens em alta resolução da Ômicron:


Publicado por: Badiinho Moisés/Com informações do Metrópoles


